Radiosurgery Brain Tumor Side Effects . radiotherapy to the brain can cause short term side effects such as tiredness and sickness. side effects can depend on which area of the brain has been treated and the dose of radiation given. most often, stereotactic radiation therapy treats issues in your brain, but it may be used for small tumors in. Stereotactic radiosurgery causes fewer and milder side effects than conventional radiotherapies, which cover a wider area and can affect healthy tissue. Hair loss at treatment site; side effects of radiosurgery are often related to sending high doses of radiation to specific areas of the brain. The following side effects are typically temporary and get better within a few weeks. For instance, if you are. Stereotactic radiosurgery, such as gamma knife, is often used to treat noncancerous (benign) and cancerous (malignant). Skin irritation at treatment site; Some of the most common conditions that gamma knife surgery.
from medserg.com
side effects can depend on which area of the brain has been treated and the dose of radiation given. Some of the most common conditions that gamma knife surgery. For instance, if you are. The following side effects are typically temporary and get better within a few weeks. Stereotactic radiosurgery causes fewer and milder side effects than conventional radiotherapies, which cover a wider area and can affect healthy tissue. Skin irritation at treatment site; most often, stereotactic radiation therapy treats issues in your brain, but it may be used for small tumors in. radiotherapy to the brain can cause short term side effects such as tiredness and sickness. Hair loss at treatment site; Stereotactic radiosurgery, such as gamma knife, is often used to treat noncancerous (benign) and cancerous (malignant).
What are the side effects of stereotactic radiosurgery to the brain
Radiosurgery Brain Tumor Side Effects Some of the most common conditions that gamma knife surgery. Stereotactic radiosurgery, such as gamma knife, is often used to treat noncancerous (benign) and cancerous (malignant). most often, stereotactic radiation therapy treats issues in your brain, but it may be used for small tumors in. Skin irritation at treatment site; radiotherapy to the brain can cause short term side effects such as tiredness and sickness. Some of the most common conditions that gamma knife surgery. side effects can depend on which area of the brain has been treated and the dose of radiation given. Hair loss at treatment site; Stereotactic radiosurgery causes fewer and milder side effects than conventional radiotherapies, which cover a wider area and can affect healthy tissue. The following side effects are typically temporary and get better within a few weeks. side effects of radiosurgery are often related to sending high doses of radiation to specific areas of the brain. For instance, if you are.
From www.airforcemedicine.af.mil
Stereotactic radiosurgery gives new hope for brain tumor sufferers Radiosurgery Brain Tumor Side Effects radiotherapy to the brain can cause short term side effects such as tiredness and sickness. Stereotactic radiosurgery causes fewer and milder side effects than conventional radiotherapies, which cover a wider area and can affect healthy tissue. side effects can depend on which area of the brain has been treated and the dose of radiation given. For instance, if. Radiosurgery Brain Tumor Side Effects.
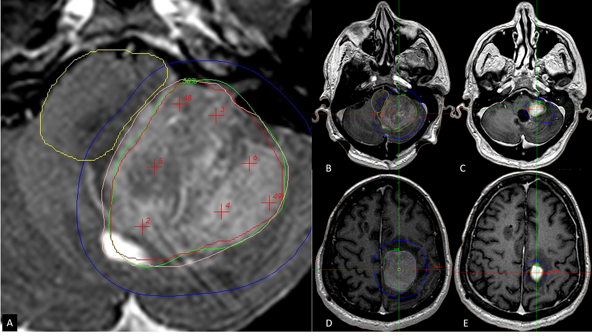
From www.bjmo.be
Longterm effects of radiosurgery vs radiotherapy on cognitive brain Radiosurgery Brain Tumor Side Effects Hair loss at treatment site; side effects of radiosurgery are often related to sending high doses of radiation to specific areas of the brain. Stereotactic radiosurgery causes fewer and milder side effects than conventional radiotherapies, which cover a wider area and can affect healthy tissue. Some of the most common conditions that gamma knife surgery. side effects can. Radiosurgery Brain Tumor Side Effects.
From effectchoices.blogspot.com
Brain Tumor Side Effects Effect Choices Radiosurgery Brain Tumor Side Effects For instance, if you are. radiotherapy to the brain can cause short term side effects such as tiredness and sickness. side effects can depend on which area of the brain has been treated and the dose of radiation given. Stereotactic radiosurgery causes fewer and milder side effects than conventional radiotherapies, which cover a wider area and can affect. Radiosurgery Brain Tumor Side Effects.
From www.neurologyadvisor.com
Stereotactic Radiosurgery Alone Better for Cognition in Brain Metastases Radiosurgery Brain Tumor Side Effects Hair loss at treatment site; side effects can depend on which area of the brain has been treated and the dose of radiation given. radiotherapy to the brain can cause short term side effects such as tiredness and sickness. The following side effects are typically temporary and get better within a few weeks. Stereotactic radiosurgery, such as gamma. Radiosurgery Brain Tumor Side Effects.
From www.vrogue.co
Brain Tumours Imaging Mri Brain Brain Lesions Brain T vrogue.co Radiosurgery Brain Tumor Side Effects Skin irritation at treatment site; radiotherapy to the brain can cause short term side effects such as tiredness and sickness. most often, stereotactic radiation therapy treats issues in your brain, but it may be used for small tumors in. The following side effects are typically temporary and get better within a few weeks. Stereotactic radiosurgery causes fewer and. Radiosurgery Brain Tumor Side Effects.
From aboutradiation.blogspot.com
Radiation Therapy Brain Tumor Side Effects All About Radiation Radiosurgery Brain Tumor Side Effects Stereotactic radiosurgery, such as gamma knife, is often used to treat noncancerous (benign) and cancerous (malignant). For instance, if you are. The following side effects are typically temporary and get better within a few weeks. Some of the most common conditions that gamma knife surgery. Hair loss at treatment site; most often, stereotactic radiation therapy treats issues in your. Radiosurgery Brain Tumor Side Effects.
From www.youtube.com
Mayo Clinic Minute How gamma knife surgery treats brain tumors YouTube Radiosurgery Brain Tumor Side Effects Stereotactic radiosurgery causes fewer and milder side effects than conventional radiotherapies, which cover a wider area and can affect healthy tissue. Stereotactic radiosurgery, such as gamma knife, is often used to treat noncancerous (benign) and cancerous (malignant). The following side effects are typically temporary and get better within a few weeks. most often, stereotactic radiation therapy treats issues in. Radiosurgery Brain Tumor Side Effects.
From www.pinterest.com
If you are experiencing any of this symptons go for medical checkup Radiosurgery Brain Tumor Side Effects The following side effects are typically temporary and get better within a few weeks. most often, stereotactic radiation therapy treats issues in your brain, but it may be used for small tumors in. Stereotactic radiosurgery causes fewer and milder side effects than conventional radiotherapies, which cover a wider area and can affect healthy tissue. side effects of radiosurgery. Radiosurgery Brain Tumor Side Effects.
From www.mayoclinic.org
Brain stereotactic radiosurgery Mayo Clinic Radiosurgery Brain Tumor Side Effects radiotherapy to the brain can cause short term side effects such as tiredness and sickness. Stereotactic radiosurgery causes fewer and milder side effects than conventional radiotherapies, which cover a wider area and can affect healthy tissue. side effects of radiosurgery are often related to sending high doses of radiation to specific areas of the brain. most often,. Radiosurgery Brain Tumor Side Effects.
From cancertherapycentres.com
Cancer Therapy Centres » Radiation Oncology Radiosurgery Brain Tumor Side Effects Skin irritation at treatment site; For instance, if you are. most often, stereotactic radiation therapy treats issues in your brain, but it may be used for small tumors in. radiotherapy to the brain can cause short term side effects such as tiredness and sickness. side effects of radiosurgery are often related to sending high doses of radiation. Radiosurgery Brain Tumor Side Effects.
From www.drugs.com
Brain stereotactic radiosurgery Radiosurgery Brain Tumor Side Effects Skin irritation at treatment site; Some of the most common conditions that gamma knife surgery. radiotherapy to the brain can cause short term side effects such as tiredness and sickness. Stereotactic radiosurgery, such as gamma knife, is often used to treat noncancerous (benign) and cancerous (malignant). side effects of radiosurgery are often related to sending high doses of. Radiosurgery Brain Tumor Side Effects.
From www.withpower.com
Stereotactic Radiosurgery for Brain Tumor Clinical Trial 2023 Power Radiosurgery Brain Tumor Side Effects Stereotactic radiosurgery, such as gamma knife, is often used to treat noncancerous (benign) and cancerous (malignant). For instance, if you are. The following side effects are typically temporary and get better within a few weeks. most often, stereotactic radiation therapy treats issues in your brain, but it may be used for small tumors in. side effects of radiosurgery. Radiosurgery Brain Tumor Side Effects.
From www.cureus.com
Cureus TwoSession Radiosurgery for Large Primary Tumors Affecting Radiosurgery Brain Tumor Side Effects Skin irritation at treatment site; For instance, if you are. side effects can depend on which area of the brain has been treated and the dose of radiation given. Stereotactic radiosurgery, such as gamma knife, is often used to treat noncancerous (benign) and cancerous (malignant). side effects of radiosurgery are often related to sending high doses of radiation. Radiosurgery Brain Tumor Side Effects.
From medserg.com
What are the side effects of stereotactic radiosurgery to the brain Radiosurgery Brain Tumor Side Effects Stereotactic radiosurgery, such as gamma knife, is often used to treat noncancerous (benign) and cancerous (malignant). side effects can depend on which area of the brain has been treated and the dose of radiation given. For instance, if you are. The following side effects are typically temporary and get better within a few weeks. Stereotactic radiosurgery causes fewer and. Radiosurgery Brain Tumor Side Effects.
From www.verywellhealth.com
Signs and Symptoms of a Brain Tumor Radiosurgery Brain Tumor Side Effects Skin irritation at treatment site; Some of the most common conditions that gamma knife surgery. For instance, if you are. radiotherapy to the brain can cause short term side effects such as tiredness and sickness. side effects can depend on which area of the brain has been treated and the dose of radiation given. Stereotactic radiosurgery, such as. Radiosurgery Brain Tumor Side Effects.
From www.cancertherapyadvisor.com
Stereotactic Radiosurgery in SCLC With Brain Metastasis Cancer Radiosurgery Brain Tumor Side Effects side effects of radiosurgery are often related to sending high doses of radiation to specific areas of the brain. radiotherapy to the brain can cause short term side effects such as tiredness and sickness. side effects can depend on which area of the brain has been treated and the dose of radiation given. Some of the most. Radiosurgery Brain Tumor Side Effects.
From www.labroots.com
Brain Tumors How Surgeons are Operating on the Inoperable Clinical Radiosurgery Brain Tumor Side Effects Stereotactic radiosurgery, such as gamma knife, is often used to treat noncancerous (benign) and cancerous (malignant). The following side effects are typically temporary and get better within a few weeks. radiotherapy to the brain can cause short term side effects such as tiredness and sickness. Skin irritation at treatment site; side effects can depend on which area of. Radiosurgery Brain Tumor Side Effects.
From thejns.org
Stereotactic radiosurgery for metastatic brain tumors a comprehensive Radiosurgery Brain Tumor Side Effects Stereotactic radiosurgery, such as gamma knife, is often used to treat noncancerous (benign) and cancerous (malignant). For instance, if you are. Skin irritation at treatment site; most often, stereotactic radiation therapy treats issues in your brain, but it may be used for small tumors in. radiotherapy to the brain can cause short term side effects such as tiredness. Radiosurgery Brain Tumor Side Effects.